Nguyên nhân, triệu chứng và phòng ngừa viêm cột sống dính khớp
Viêm cột sống dính khớp là bệnh lý thường gặp ở nam giới, đặc biệt là người trẻ tuổi. Bệnh lý này bạn đầu không có dấu hiệu rõ ràng, nên đa phần người bệnh dễ chủ quan và bỏ qua mà không đi thăm khám và phát hiện bệnh kịp thời.
Bệnh viêm cột sống dính khớp là gì?
Đây là bệnh lý mãn tính thuộc nhóm bệnh viêm khớp cột sống gây tổn thương cho vùng chậu, khớp chi dưới và cột sống. Mặc dù bệnh lý này tiến triển khá chậm, nhưng nếu không được điều trị sớm thì gây nên những biến chứng nguy hiểm khó lường.
Một vài dấu hiệu bệnh lý viêm cột sống dính khớp bạn không thể bỏ qua.

- Khớp gối và khớp háng bị dính có thể gây nên tình trạng vận động khó khăn, kém linh hoạt, với trường hợp dính khớp cột sống chủ yếu gây gù. Còn dính khớp sụn sường với xương ức khiến căng cứng lông ngực, hạn chế chức năng phổi gây thở khó khăn. Đây được gọi là dính khớp cột sống ngoại biên.
- Các tình trạng gãy, xẹp, lún đột sống, đau mỏi thường xuyên do loãng xương xuất phát từ nguyên nhân bệnh lý cột sống dính khớp.
- Một số người bệnh gặp hiện tượng mờ mắt, đau mắt, nhạy cảm với ánh sáng hay còn gọi là viêm màng bồ đào.
- Ngoài ra, người bệnh bị các biến chứng khác như viêm ruột mãn tính viêm van động mạch chủ...
Dấu hiệu viêm cột sống dính khớp
Bệnh viêm khớp cột sống trong giai đoạn đầu có nhiều triệu chứng và biểu hiện khác nhau, nhưng chưa rõ ràng. Chỉ khi bước sang giai đoạn cấp, thì tình trạng này trở nên nặng nề và dễ nhận biết hơn:
- Đau vùng lưng, cột sống kéo dài từ 3 tháng trở nên. Cơn đau trở nên trầm trọng hoặc diễn ra tăng cường hơn khi thay đổi tư thế hoặc sáng ngủ dậy vào sáng sớm hoặc ban đêm.
- Cột sống bị cứng lại, gây khó khăn trong các hoạt động, đặc biệt khi cúi, ngửa, nghiêng người hay ngồi xổm.
- Khớp háng và gối bị dính có thể gây sưng đau kéo dài và không rõ nguyên nhân.
- Các bất thường về ngoại hình và tư thế rõ ràng nhất là ưỡn cột sống cổ, lưng bị gù hay khom về đằng trước.
- Ngoài ra có một số biểu hiện hiếm gặp hơn như đau bụng, tiêu chảy, loãng xương và viêm kết mạc.
Nguyên nhân gây bệnh lý viêm cột sống dính khớp
Theo các chuyên gia bác sĩ, y học hiện nay vẫn chưa có đánh giá nguyên nhân chính xác gây bệnh lý viêm cột sống dính khớp. Tuy nhiên có đến 90% người bệnh xuất hiện kháng nguyên hợp mô HLA -B27, cho thấy bệnh lý này có liên quan mật thiết.

Tuy nhiên, qua nhiều nghiên cứu về các đối tượng khác nhau thuộc chủng tộc, sắc tộc khác nhau, nhiều bệnh nhân dù mang gen HLA - B27 cũng không bị mắc bệnh. Do đó, yếu tố gen này chỉ có thể củng cố cho nguy cơ gây bệnh viêm cột sống dính khớp cao hơn bình thường.
Làm thế nào để biết mình bị viêm cột sống dính khớp
Để có thể biết chính xác mình bị viêm cột sống dính khớp hay không, bạn cần tìm đến các cơ sở y tế chuyên khoa, được bác sĩ chuẩn đoán và thực hiện một số xét nghiệp liên quan.
a. Chẩn đoán lâm sàng
Thông qua triệu chứng của người bệnh, bác sĩ sẽ đưa ra chẩn đoán lâm sàng về tình trạng viêm cột sống dính khớp và các cơn đau thắt lưng, tình trạng cứng cột sống hay bất thường về tư thế, ngoại hình.
b. Chẩn đoán cận lâm sàng
Chẩn đoán cận lâm sàng bao gồm nhiều xét nghiệm mà người bệnh cần thực hiện để đánh giá chính xác tình trạng bệnh lý. Trong đó bao gồm xét nghiệm máu, chụp X-quang, xét nghiệm kháng nguyên hợp mô HLA-B27.
– Xét nghiệm máu: Nhằm mục đích xác định các dấu hiệu viêm như tăng tốc độ lắng máu, tăng CRP.
– Xét nghiệm kháng nguyên hòa hợp mô HLA-B27: Nếu xét nghiệm dương tính ở 80-90%, bệnh nhân bị viêm cột sống dính khớp.
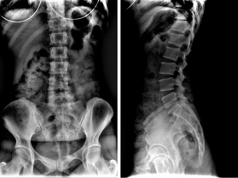
– Chẩn đoán hình ảnh
Nhờ có chụp X-Quang, bác sĩ sẽ đánh giá chính khác vùng viêm khớp chậu, các tổn thương cột sống hay viêm khớp háng mà người bệnh mắc phải. Tuy nhiên, X-Quang không phải là phương pháp đem đến tính chính xác cao và chẩn đoán sớm được tổn thương cấu trúc ở giai đoạn sớm. Do đó, xét nghiệm hình ảnh bằng cách chụp cộng hưởng từ sẽ đưa ra đánh giá chính xác, phát hiện sớm hơn tổn thương cấu trúc và khẳng định loại trừ bệnh viêm cột sống dính khớp.

c. Chẩn đoán phân biệt
Do có nhiều đặc điểm khá tương đồng với viêm cột sống dính khớp và bệnh Forestier (bệnh lao khớp háng) nên bác sĩ cần có đánh giá chuẩn xác, phân biệt 2 loại bệnh lý này.
d. Chẩn đoán xác định
Chỉ chẩn đoán xác định bệnh viêm cột sống dính khớp khi có tiêu chuẩn X quang và ít nhất một yếu tố thuộc tiêu chuẩn lâm sàng.
Điều trị viêm cột sống dính khớp như thế nào?
Làm thế nào để điều trị viêm cột sống dính khớp hiệu quả. Tùy vào tình trạng của bệnh lý, bác sĩ chuyên môn sẽ đưa ra những chỉ định thích hợp, người bệnh cần tuân thủ và thực hiện phác đồ điều trị.
Sử dụng thuốc đặc trị
Một số loại thuốc đặc trị sẽ được bác sĩ chuyên khoa kê theo đơn, người bệnh cần tuân thủ theo đúng liều lượng để tránh dùng sai cách, liều dùng nhằm hạn chế tác dụng phụ không mong muốn.
- Thuốc giảm đau chứa thành phần paracetamol hoặc dạng kết hợp. Có thể sử dụng cùng với loại kháng viêm không steroid.
- Thuốc kháng viêm không steroid (celecoxib, meloxicam, diclofenac, etoricoxib…). Với tác dụng giảm viêm, giảm đau hiệu quả. Tuy nhiên, loại thuốc này không được sử dụng trong thời gian dài do tác dụng phụ gây ảnh hưởng đến dạ dày, gan, thận và tim mạch.
- Thuốc giãn cơ: eperisone, thiocolchicoside theo liều lượng chỉ định của bác sĩ. Việc sử dụng tùy ý thuốc giãn cơ có thể gây ảnh hưởng xấu và nguy hiểm đến cơ tim.
- Tiêm corticosteroids tại chỗ áp dụng với trường hợp viêm các khớp ngoại biên kéo dài hoặc các điểm bám gân.
- Thuốc thấp khớp làm biến đổi bệnh-DMARD (sulfasalazine, methotrexat): Không áp dụng cho bệnh nhân thể cột sống đơn thuần. Sử dụng sulfasalazine với bệnh nhân viêm khớp ngoại biên.
- Chế phẩm sinh học kháng TNFα: Sử dụng kết hợp với thuốc kháng viêm không steroid, áp dụng với các trường hợp không đáp ứng với điều trị thường quy.
Phương pháp vật lý trị liệu
Vật lý trị liệu với các bài tập vận động lành mạnh, tần suất luyện hợp lý sẽ tăng cường sức mạnh cho cơ khớp, đem đến sự linh hoạt và dẻo dai. Người bệnh cần được tập bài bản, đúng cách bởi các cơ sở vật lý trị liệu hay dưới hướng dẫn của bác sĩ có chuyên môn cao. Vì việc tập vật lý trị liệu sai cách, không có giám sát chặt chẽ và chuyên nghiệp có thể gây nên hậu quả trái ngược với mong muốn.
Phẫu thuật
Sau khi sử dụng thuốc, vật lý trị liệu và các phương pháp khác nhưng tình trạng viêm cột sống dính khớp không thuyên giảm. Tùy vào đánh giá tình trạng bệnh của bác sĩ, người bệnh có thể được chỉ định thay khớp háng nhằm khắc phục tình trạng đau nhức kéo dài, hạn chế vận động...
Trường hợp được chỉ định phẫu thuật bao gồm:
- Cột sống đã bị biến dạng do viêm nặng.
- Gãy đốt cột sống cấp tính do bị viêm cột sống dính khớp cần được xét chỉ định phẫu thuật.

Phòng ngừa bệnh viêm cột sống dính khớp bằng cách nào?
Mặc dù tính đến nay, vẫn chưa thể xác định chính xác nguyên nhân gây bệnh, do đó biện pháp phòng tránh bệnh cũng chưa được khẳng định tuyệt đối. Tuy nhiên, việc xây dựng chế độ ăn sinh hoạt hợp lý, khoa học có thể tăng cường sức đề kháng cho cơ thể, phòng tránh bệnh về xương khớp.
Trong đó, để đề phòng bệnh lý này, chúng ta cần chú ý đến các tư thế nằm ngủ và sinh hoạt như không kê gối quá cao khi ngủ, tránh nằm võng. Ngoài ra, nên chú ý nằm trên bề mặt cứng, phòng tránh bệnh viêm đường ruột, cần thường xuyên tập thể dục đều đặn, các hoạt động bơi và đạp xe nhẹ nhàng.
Khi có bất cứ dấu hiệu nào nghi ngờ và bất thường liên quan đến bệnh lý, người bệnh hãy nhanh chóng đến các cơ sở y tế chuyên khoa để được thăm khám và phát hiện kịp thời, tránh những biến chứng nguy hiểm. Tuyệt đối không nên tự phỏng đoán bệnh, tự mua thuốc để sử dụng điều trị tại nhà không có hướng dẫn của bác sĩ chuyên môn gây tác dụng phụ hoặc điều trị sai bệnh.
Massage trị liệu cổ truyền Ấn Độ
Massage trị liệu cổ truyền là phương pháp hiệu quả giúp tăng cường sức mạnh cho cơ xương khớp, tạo độ dẻo dai và linh hoạt. Bên cạnh đó, liệu pháp đem đến nhiều lợi ích cho sức khỏe, phòng ngừa bệnh lý cột sống trong đó gồm viêm cột sống dính khớp.
Himalaya Health Spa là một trong những địa chỉ vàng tiên phong trong lĩnh vực trị liệu cổ truyền Ấn Độ. Với hơn 20 năm kinh nghiệm trong lĩnh vực chăm sóc sức khỏe và sắc đẹp, Himalaya là đơn vị tiên phong trong việc ứng dụng thành công tinh hoa Y học cổ truyền Ấn Độ vào liệu trình massage trị liệu.

Bên cạnh đó, Himalaya còn có đội ngũ chuyên gia và kỹ thuật viên chuyên nghiệp, được đào tạo bài bản nhằm mang lại cho khách hàng những trải nghiệm tốt nhất. Hệ thống máy móc trang thiết bị hiện đại, kết hợp nguồn thảo dược tự nhiên, quý hiếm, khách hàng sẽ cảm nhận được hiệu quả vượt trội của liệu trình xoa bóp bấm huyệt ngay từ lần đầu tiên trị liệu. Hơn nữa, Himalaya còn nhận được rất nhiều giải thưởng danh giá do người tiêu dùng bình chọn và các dịch vụ ở đây đều được kiểm định nghiêm ngặt, đạt chuẩn. Với những lý do này, Himalaya Health Spa đích thị là địa chỉ massage trị liệu hiệu quả, hỗ trợ giảm đau bệnh lý viêm cột sống dính khớp.
Himalaya Health Spa
CN1: Toà Landmark 1, SH 03 - Vinhomes Central Park, Quận Bình Thạnh, HCM
CN2: Khu GM, N.13, 119 Phổ Quang, P.9, Q. Phú Nhuận, HCM
HOTLINE: 097 717 2222 hỗ trợ 24/7